Informace pro zájemce o štěňátka z naší CHS
5. září 2025 - Na klinice Vltava dnes ráno potvrzena březost u Abynky! Napočítali jsme 3 kuličky na levé a 3 na pravé straně bříška. Počátkem října přivítáme na svět početný vrh "G", půjde o mladší sourozence vrhu "F", tatínkem je výstavně i lovecky veleúspěšný Joey (Fantasy Fly Jo-Bear)

3. dubna 2023 - Dnes 58.den březosti, v průběhu večera Abynce klesla teplota, hledá klidná místečko a zatím odpočívá. Že by šla ve stopách praprababičky Verunky a přivedla štěňátka na svět už zítra?![]()

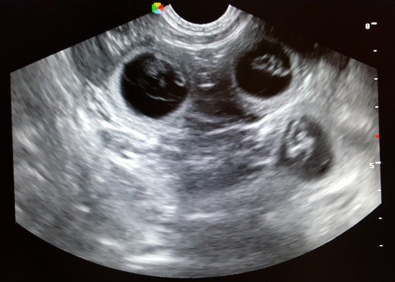
6. března 2023 - Ranní sonografie potvrdila březost u Abynky! Ukázala se nám minimálně 4 štěňátka, určitě jsou v bříšku pejskové i fenky.

30. května 2017 - Ranní pokles teploty napovídá, že Cindynka možná již dnes v noci přivede svůj druhý štěněcí vrh na svět !
28. května 2017 - Máme 58.den březosti, Cindynka s véélikým bříškem užívá letního počasí, sluní se na travičce ve výběhu a pravidelně chodí hlídat "na myšku" na oblíbené místo u kompostu.![]()

17. května 2017 - Zaznamenali jsme první pohyby štěňátek v bříšku. Jestli to byl kluk nebo holka možná neví ještě ani Cindynka... ![]()
28. dubna 2017 - Cindynka má potvrzenou březost !

Podle ranní sonografie má naše nejmladší fenka v bříšku minimálně 5 štěňátek.![]()
A jelikož už trochu víme, jak to chodí, dá se čekat početný pátý vrh z Borových lesů.
31. března 2017 - Po ranním odběru krve jsme se dozvěděli, že zřejmě nastal ten správný den na cestu za psím ženichem.
K našemu překvapení se dlouhé námluvy nekonaly, Rocky během chvilky potvrdil, že Cindynka přijela opravdu přesně.
Po úspěšném spojení věříme, že se můžeme těšit na letní chlupáčky vrhu E !
20. března 2017 - Cindynka začala přesně podle plánu hárat (pravidelně po 6ti měsících a 2 týdnech
).
Očekáváme krytí na přelomu března a dubna.
Rozhodli jsme se pro opakované spojení z vrhu D, s krycím pejskem Rockym. Vyjde-li vše jak má, štěňátka by se měla narodit na přelomu května a června, do světa by se mohla vypravit v polovině letních prázdnin.
1. září 2015 - Cindynce přes noc klesla teplota, vyhledává klidná místečka na zahradě a připravuje se na příchod štěňátek. ![]()

23. srpna 2015 - Dnes kolem osmé hodiny večerní jsme poprvé zaznamenali pohyb štěňátek v Cindynky bříšku!
3. srpna 2015 - Cindynka absolvovala kontrolní sonografii, začátkem září můžeme po třech letech opět čekat početný retrívří vrh.
Na snímku bylo vidět minimálně pět štěňátek!
6. července 2015 - Máme za sebou úspěšné víkendové krytí v CHS Dorado Blanco, přibližně za měsíc půjdeme se Cindynkou na kontrolní ultrazvuk. ![]()
1. července 2015 - Cindynka absolvovala první odběr na Progesteron, máme hladinu 4,4 ng/ml, v pátek 3.7. jedeme na krytí. ![]()
11. června 2015 - Na léto plánujeme štěňátka našeho již čtvrtého vrhu! Čekáme, až nejmladší Cindynka začne hárat
a vyrazíme na námluvy do CHS Dorado Blanco, za krycím pejskem Rockym.
21. srpna 2012 - Aileenka má štěňátka !
17. srpna 2012 - Během několika dnů
očekáváme narození vrhu C z Borových lesů
Aileenka už má velké bříško, většinu dne odpočívá na trávě ve výběhu, sluní se a chodí se mazlit s páníčky.
A nebo hraje Aileenka fotbal...

...až jí to úplně unaví. 

22. července 2012 - Aileenka dnes absolvovala kontrolní sonografii, v bříšku pan doktor viděl 5, možná 6 štěňátek.
Brzy se tedy dočkáme dalších chlupáčků a Bastien s Verunkou svých psích vnoučátek. ![]()

Vrh C očekáváme v druhé polovině srpna,
již nyní se na nás mohou obracet zájemci o štěňátka.
17. července 2012 - Zatímco Verunky štěňátka se nám o víkendu rozjela s páníčky do nových domovů, s Aileenkou se za pár dnů chystáme na kontrolní sonografii.
Uvidíme jestli se koncem srpna dočkáme dalších hafíčků..
22. června 2012 - Aileen absolvovala krevní test na Progesteron - hodnota 16,4 ng/ml. Vyrazili jsme na krytí do CHS Misantos za krycím pejskem Irbym. V pátek proběhlo první krytí, v sobotu jsme kryli podruhé. ![]()
18. května 2012 - Verunce včera klesla teplota, jak vyběhne na zahradu, hned někde hrabe jámu a připravuje hnízdečko.
Očekáváme štěňátka již dnes nebo zítra!

9. května 2012 - V naší CHS vrcholí přípravy na štěňátka.
Přinášíme fotečku Verunky v osmém týdnu březosti; jak jinak než při válení se na travičce.
Venčíme se na kratších procházkách, Verunka se občas doma schladí v bazénku a pořád se chodí s páníčky mazlit. 

29. dubna 2012 - Máme za sebou polovinu březosti a na Verunce začínají být štěňátka vidět.
Ája chodí a očmuchává maminy cecíky, jako by chtěla mlíčko.. 

19. dubna 2012 - Máme Doporučení ke krytí pro Ájinku.
Krycím pejskem bude Irby (Egoiste Du Bois De La Rayere) z CHS Misantos. Pokud vše časově zvládneme a Ájinka bude ve správnou dobu hárat, zkusíme nakrýt. 
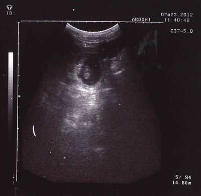
17. dubna 2012 - Verunka je březí !
Dnešní kontrolní sonografie potvrdila, že Verunka nosí v bříšku minimálně 3 štěňátka.
Přinášíme i exklusivní snímek, na kterém se nám jedno ze štěňátek ukazuje. 

22. března 2012 - Druhé krytí jsme zvládli, teď už jen budeme čekat zda ze spojení budou štěňátka. Dozvíme se nejdříve za měsíc..
20. března 2012 - Dle hodnoty progesteronu 11,9 ng/ml byl dnes ideální den ke krytí. Po delším dopoledním dobývání se Verča s Bastíkem úspěšně spojili.
Pozítří jedeme do Plzně ještě jednou.
16. března 2012 - Ráno Verunka absolvovala 1.vyšetření na hladinu progesteronu. Výsledek máme 3,95 ng/ml. Dle veterináře to vypadá, že budeme krýt v neděli nebo v pondělí.
9. března 2012 - Máme Doporučení ke krytí.
5. března 2012 - Verunka začala hárat ! Chystáme opakování úspěšného spojení z roku 2009, s krycím psem Bastienem z Makových dvorů.
Máme zažádáno o Doporučení ke krytí, čekáme až nastane správná doba pro Bastíka, aby Verču dobýval
.